矯正の検査って何をするの? 何がわかるの? ~矯正治療前の精密検査 
院長とスタッフのおしゃべり日記(医院ブログ)|smartphone
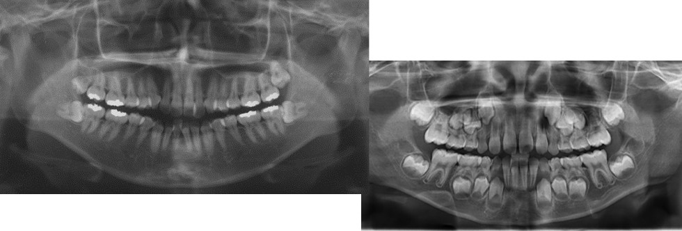
30代からの歯列矯正 ルーセント歯科にて歯型とレントゲンを撮る 1回目 
ワイヤー矯正ブログ加藤編
海外留学しながら歯列矯正はできる?!マウスピース矯正経過報告(4か 
できるだけ歯を抜かない矯正歯科治療」ブログについて 石井歯科矯正 
矯正用アンカースクリューとは】
矯正装置の下に出来た虫歯を治療しました - 出っ歯の非抜歯・抜歯矯正 ![]()
歯列矯正〜経過〜|Happy Life.。.:*♡|Hikariのブログ|Mama
紅林大空🍭くれちゃんねる on Twitter: "🌈歯列矯正ブログ更新🌈 「歯
30代からの歯列矯正<初期> りんご飴
紅林大空🍭くれちゃんねる on Twitter: "歯列矯正ブログ更新しました
Tags:
archive